HNO-Röntgen

DVT

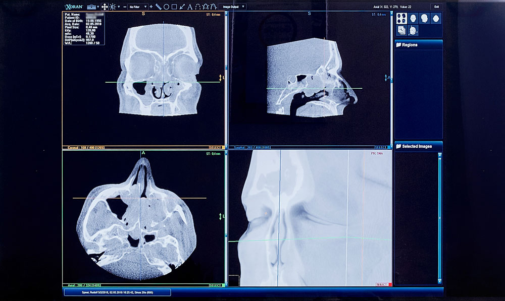
Die digitalen Volumentomographie (DVT), eine der neuesten Entwicklungen der bildgebenden Diagnostik, ist eine hochauflösende Schnittbild-Diagnostik mit wenig Strahlenbelastung. Sie stellt die kleinsten Knochenstrukturen des Schädels zwei- und dreidimensional dar. Dies hat entscheidende Vorteile bei der Untersuchung von Zähnen, Nasennebenhöhlen und Mittelohren. Die Genauigkeit liegt bei bis zu 0,2 mm.

Es können sofortige Termine in der Praxis (in Zusammenarbeit mit der Kopf-Klink) vereinbart werden. Die Kosten werden durch alle private Kassen übernommen.